Fig. 1
From: Efficacy of rituximab in thymoma associated minimal change disease: case report

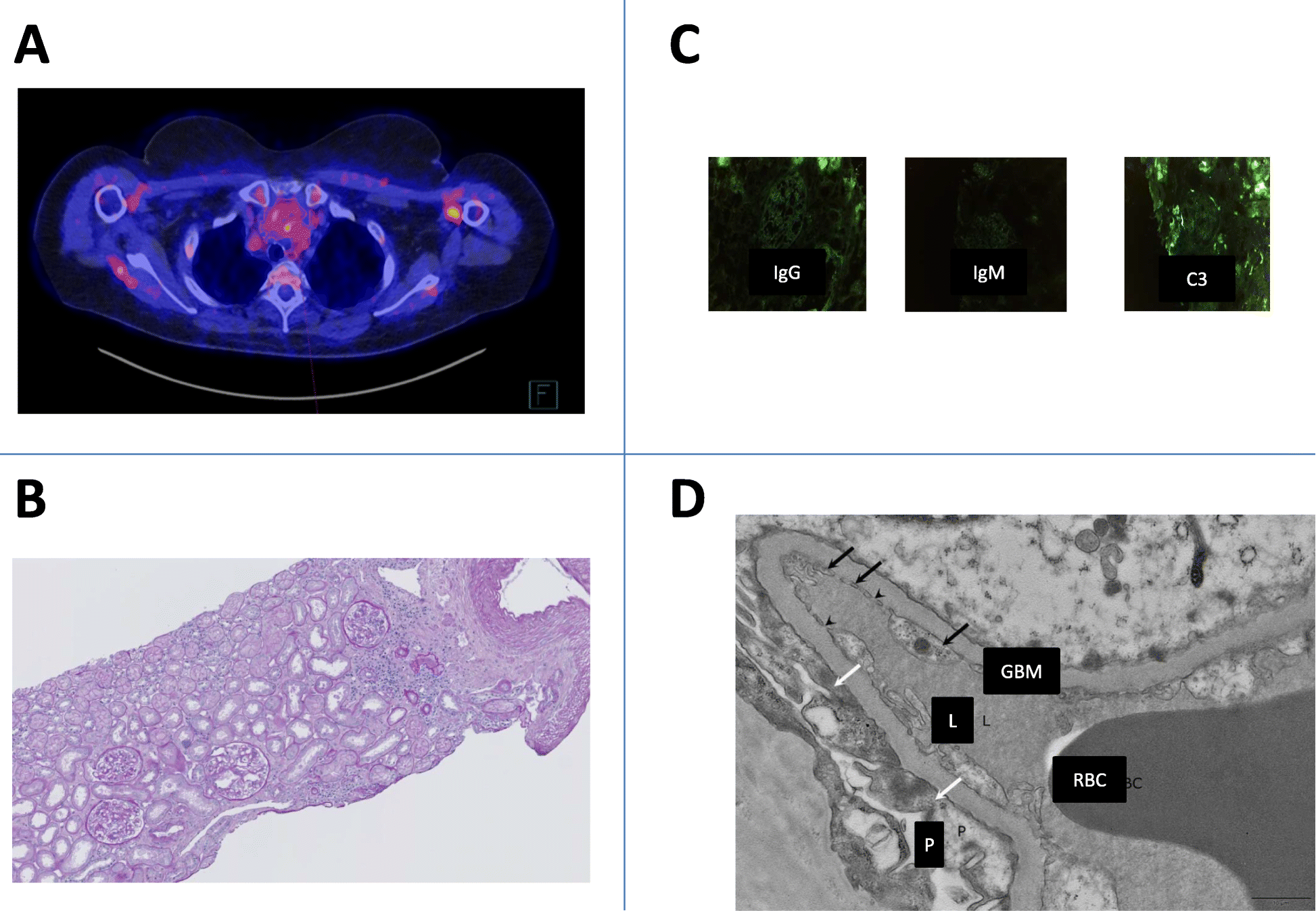
Images of the thymoma and renal histology. A Transaxial Fluorine-18 Fluorodeoxyglucose positron emission tomography - computed tomography (F-18-FDG PET/CT) images show a nodular thymic mass in the anterior mediastinum with moderate uptake (maximum standardized uptake value = 4). B Light microscopy analysis (periodic acid-Schiff stain, × 100): the glomeruli show no proliferation, no sclerosis, no inflammation or necrosis and the Bowman space is unremarkable. C Immunofluorescence microscopy found no deposits (IgM, IgG, C3). D Ultrastructural analysis: transmission electron micrograph (JEOL JEM 1400 Flash) of peripheral capillary loops demonstrating extensive foot process effacement, with no immune complexes, normal mesangial cellularity and matrix, and normal thickness of the glomerular basement membrane There is no evidence of podocyte detachment consistent with a diagnosis of FSGS. Black arrow: endothelial cell. Arrowhead: fenestrae. White arrow: diffuse effacement of podocyte foot processes. (GBM: glomerular basement membrane. L: lumen of glomerular capillary. P: podocyte. RBC: red blood cell)